Cabinet d'Implantologie exclusive du Dr Jean-François GESLOT
Chirurgien-Dentiste spécialisé en Implantologie à Croix près de Lille
57 Avenue de Flandre, 59170 CROIX
+33 3 20 73 93 13
Cabinet d'Implantologie exclusive du Dr Jean-François GESLOT
Chirurgien-Dentiste spécialisé en Implantologie à Croix près de Lille

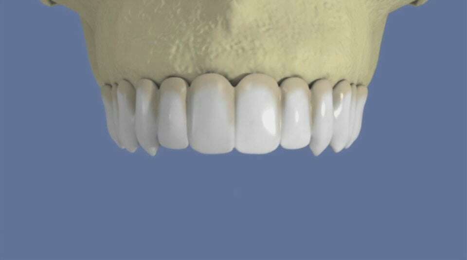
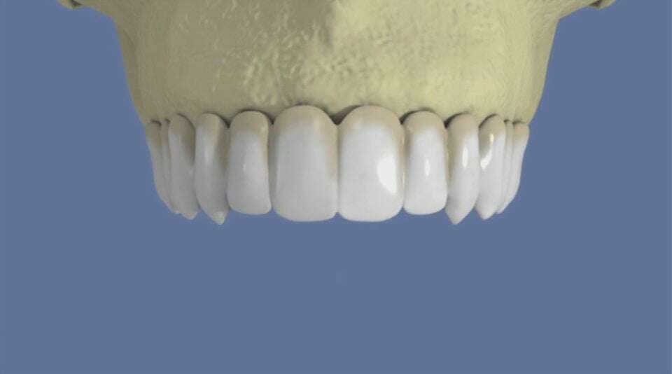
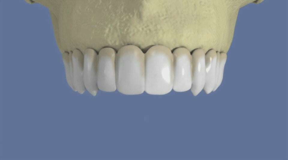
Maxillaire : bridge vissé sans fausse gencive


video-play-icon

Articles similaires

Création par Webdentiste

Connexion